成事在天
时间:2014-07-28
作者:谭玲
点击: 次
张教授发现自己黄了,于是到医院里住院。张教授是个退休的老内科医生。他信心满满的推测,我的病就在十二指肠和胆管那块儿。
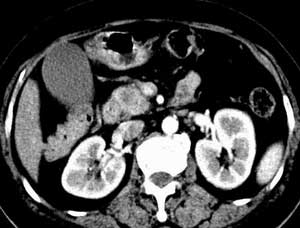
我去会诊,看他的腹部CT片。胰腺上有一个包块,看片子应该是胰腺癌,多发肝脏转移,肝内胆管扩张。我看着那张冷酷无情的片子,由不得叹了口气。我知道这样的一张片子意味的大概就是四个月的生存期。然后跟病人家属交待病情,没有手术机会,预后差,生存期短,进展快。我无数次的交待过病情,我知道我有着职业的沉着和冷静。家属按照惯例被我交待哭了。我交待哭过许多人。突然的这种对自家亲人的无情的宣判其实谁都接受不了。从老伴儿到大儿子到二儿子纷纷跟我表达的是无法接受,不可思议。看着还好好的一个人怎么就会被宣判了不到半年的有期徒刑呢。
胰腺癌号称恶性肿瘤中的王中之王。隐匿生长,发现很晚,进展很快,恶性程度很高,生存期很短是胰腺癌的特点。
张教授的病情进展的还是比预想中要快。转科没有两天,黄疸指标在迅速上涨。就他的这种情况,理论上首先要保持胆道引流通畅,然后做化疗,放疗。我的愿望是想通过我们的治疗能让张教授活上半年,毕竟他也是医生,是个同行。所以只是希望他能够稍微适当的多活一段时间,尽管这个时间只是以天来记的。儿子和老伴说病情可以直接跟他本人说。张教授很乐观,很坦然的接受了一切。疾病面前没有什么善恶之分,再坚强的灵魂也无法捍动病魔的脚步。张教授的黄疸指标以每天100的速度在上涨,这时候其实就算再手术,风险也很大。而我们和张教授的家属一起协商后,决定做胆管内外引流的手术,想为他的生命赢取时间。
手术很顺利,可术中发现胆管内已经癌转移,都是充盈缺损,引流胆汁通畅,可是胆汁为血性。所有这些提示的都是晚得不能再晚的指标了。术后第四天,张教授无尿肾衰了。然后做血液透析,每一天看着那些指标,都会默默地在心底里跟他说,加油,张教授。我希望他能挺过去,希望能有奇迹发生,让他好起来,再活上半年。可是张教授终于没有挺过去。
做医生的我们无不希望能妙手回天。我们都喜欢成功的欢畅。上大学的时候,老师就说过考试不会考的一道题就是肿瘤的发病原因。因为病因不明,和许多因素有关。时至今日,我们知道肿瘤和基因有关。我们再怎样精确的计算,理智的分析其实都敌不过预埋在基因中的天机。